Since its discovery in 2020, VEXAS syndrome has rapidly emerged as an important cause of late-onset systemic inflammation associated with clonal hematopoiesis.

The syndrome is increasingly recognised in patients previously labelled as having refractory autoimmune disease, relapsing polychondritis, or unexplained inflammatory syndromes with cytopenias.

For clinicians, the key challenge is recognising when to test for it.

This article summarises clinical clues, laboratory findings, and a practical diagnostic approach to help identify patients who may have VEXAS syndrome.

Why VEXAS Is Often Missed

Patients with VEXAS frequently spend years moving between specialties before diagnosis.

Common initial labels include:

  • relapsing polychondritis
  • Sweet syndrome
  • vasculitis
  • undifferentiated autoimmune disease
  • myelodysplastic syndrome with inflammation

The unifying feature is the coexistence of autoinflammatory symptoms and hematologic abnormalities.

Recognition is improving because clinicians are increasingly aware that a somatic mutation in the UBA1 gene can produce this constellation of findings.

Key Clinical Scenario

The classic patient profile is:

Male over 50 with systemic inflammation and macrocytic anemia.

Other common features include:

  • steroid-responsive inflammation that relapses when tapering
  • unexplained cytopenias
  • neutrophilic dermatoses
  • relapsing polychondritis
  • elevated CRP/ESR

When these features occur together, clinicians should consider testing for VEXAS.

Clinical Clues That Should Trigger Suspicion

1. Steroid-Dependent Inflammatory Disease

Inflammatory symptoms are often severe but respond dramatically to corticosteroids.

Typical manifestations include:

  • recurrent fevers
  • inflammatory arthritis
  • skin lesions resembling Sweet syndrome
  • vasculitis-like presentations

However, symptoms frequently recur during steroid tapering, and conventional DMARDs often fail.

2. Macrocytic Anemia Without Obvious Cause

One of the most consistent hematologic findings in VEXAS is macrocytosis.

Patients may present with:

  • MCV >100 fL
  • anemia despite normal B12 and folate
  • associated thrombocytopenia

These findings should prompt evaluation for clonal hematologic disease, including Myelodysplastic syndrome.

3. Multisystem Inflammation

VEXAS frequently involves multiple organ systems.

Common manifestations include:

Dermatologic

  • neutrophilic dermatoses
  • vasculitic rashes

Rheumatologic

  • inflammatory arthritis
  • relapsing polychondritis

Pulmonary

  • inflammatory pulmonary infiltrates

Systemic

  • persistent fevers
  • profound fatigue

Red Flags for VEXAS Syndrome

Clinicians should particularly consider VEXAS in patients with:

  • Male sex and age >50
  • Macrocytic anemia with systemic inflammation
  • Steroid-responsive but refractory inflammatory disease
  • Relapsing polychondritis
  • Neutrophilic dermatosis
  • Associated hematologic disorder such as MDS or Monoclonal gammopathy of undetermined significance

The coexistence of these features should strongly prompt further evaluation.

Diagnostic Work-Up

Initial Laboratory Evaluation

Baseline testing typically includes:

  • full blood count with differential
  • CRP and ESR
  • ferritin
  • renal and liver function
  • serum protein electrophoresis

Common findings include:

  • macrocytic anemia
  • thrombocytopenia
  • elevated inflammatory markers

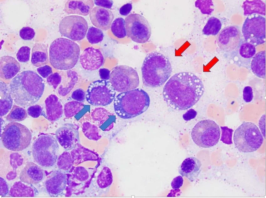
Bone Marrow Examination

Bone marrow biopsy often reveals:

  • hypercellular marrow
  • cytoplasmic vacuoles in erythroid and myeloid precursors
  • dysplasia or clonal hematopoiesis

Although vacuolisation is not specific, it is a useful clue when present alongside systemic inflammation.

Confirmatory Testing

Diagnosis requires identification of a somatic mutation in the UBA1 gene, usually affecting the p.Met41 codon.

Testing may be performed on:

  • peripheral blood
  • bone marrow
  • affected tissue samples

Detection of this mutation confirms the diagnosis of VEXAS syndrome.

Differential Diagnosis

Conditions commonly considered before VEXAS is diagnosed include:

  • relapsing polychondritis
  • Sweet syndrome
  • systemic vasculitis
  • adult-onset Still disease
  • myelodysplastic syndrome with inflammatory features
  • clonal hematopoiesis associated inflammatory disease

Recognition of VEXAS often unifies several seemingly unrelated diagnoses.

Why Early Recognition Matters

Although VEXAS is rare, its clinical impact is significant.

Patients may develop:

  • progressive cytopenias
  • thromboembolic complications
  • pulmonary disease
  • organ dysfunction

Mortality rates reported in early series have been substantial, highlighting the importance of prompt recognition and referral.

A Practical Take-Home Message

Clinicians should consider VEXAS syndrome when encountering:

Male patient over 50 with unexplained systemic inflammation and macrocytic anemia.

Especially when accompanied by:

  • steroid-dependent inflammatory disease
  • neutrophilic dermatosis
  • relapsing polychondritis
  • bone marrow abnormalities

In such cases, UBA1 mutation testing should be considered.

As awareness grows, earlier diagnosis will likely improve outcomes and guide more targeted therapies.